عيادات الشناوي 1 year ago Importance of Restorative Dental Care for Your Oral Health Restorative dental care is essential for overall oral health. Restorative dentistry is the best option for restoring teeth to their
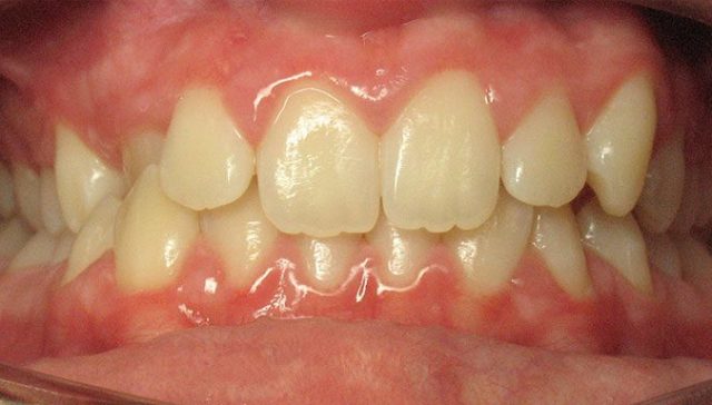
عيادات الشناوي 1 year ago Anterior Cross bite: Causes, Symptoms & Treatment Anterior cross bite is a dental problem that adversely affects the function and appearance of a smile. Anterior crossbite occurs