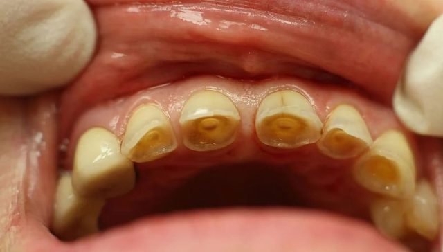
عيادات الشناوي 11 months ago Tooth Enamel Erosion: Signs, Causes & Treatment Tooth enamel is the tough outer layer of your teeth, serving as the primary shield for your smile. This tough
عيادات الشناوي 11 months ago Night Mouth Guard: Effective Relief for Bruxism Many people grind or clench their teeth during sleep without even realizing it (a condition known as bruxism). This unconscious