عيادات الشناوي 1 year ago Tooth Abscess Treatment: Quick and Effective Solutions A tooth abscess is a serious condition that should never be ignored or left untreated. If left unchecked, the bacteria
عيادات الشناوي 1 year ago Importance of Restorative Dental Care for Your Oral Health Restorative dental care is essential for overall oral health. Restorative dentistry is the best option for restoring teeth to their
عيادات الشناوي 1 year ago Anterior Cross bite: Causes, Symptoms & Treatment Anterior cross bite is a dental problem that adversely affects the function and appearance of a smile. Anterior crossbite occurs
عيادات الشناوي 1 year ago Tooth Extraction Aftercare: What to Do Next? Tooth extractions are common dental interventions that require aftercare in order to heal well and avoid complications. Tooth extraction aftercare
عيادات الشناوي 1 year ago Sedation for Dental Treatment: Types and Benefits Many people avoid visiting the dentist due to dental anxiety or a deep fear of dental procedures. However, sedation for
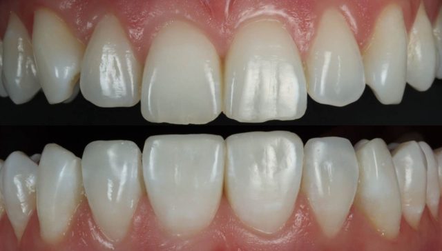
عيادات الشناوي 1 year ago Why Choose Composite Resin Veneers in Cosmetic Dentistry? A flawless smile begins with the right dental solution. Composite resin veneers are a transformative and budget-friendly choice for achieving
عيادات الشناوي 1 year ago 7 Proven Steps to Take When a Dental Crown Falls Off Dental crowns are versatile dental solutions designed to address a variety of dental concerns, from restoring damaged teeth to enhancing
عيادات الشناوي 1 year ago Clear vs. Hawley Orthodontic Retainer A perfect smile is the result of dedication, time, and, most importantly, the right orthodontic care. After months or years
عيادات الشناوي 1 year ago Top Causes of Bad Breath and Powerful Remedies Halitosis, commonly known as bad breath, is a widespread and often uncomfortable condition that affects nearly 1 in 4 people
عيادات الشناوي 1 year ago Composite Inlays and Onlays: Durable, Affordable Solutions. According to a study published in the Journal of Conservative Dentistry in 2010, composites have a greater capacity to absorb