عيادات الشناوي 6 months ago Stress teeth grinding: causes, symptoms, and how to stop it Stress teeth grinding is more than just an annoying habit; it’s a sign that your body is struggling to cope
عيادات الشناوي 6 months ago Baby teeth treatment: how early care makes a big difference Many parents don’t realize the importance of baby teeth since they eventually fall out to make room for adult teeth.
عيادات الشناوي 6 months ago Top daily tips for healthy gums and teeth Healthy gums are the foundation of a healthy smile, yet they’re often overlooked in daily oral care. While many people
عيادات الشناوي 6 months ago Smile-friendly choices: the best foods for healthy teeth A healthy smile starts with our food choices. What we eat plays a substantial role in the strength of our
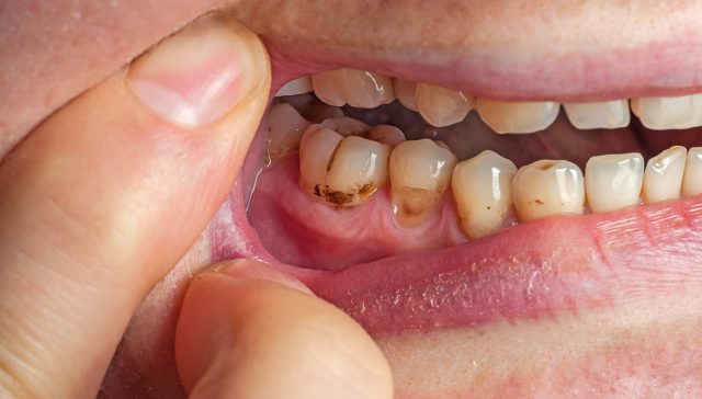
عيادات الشناوي 7 months ago The real causes of toothache: common reasons beyond cavities Toothache is one of the most common dental problems people experience, and it can range from mild discomfort to severe,
عيادات الشناوي 7 months ago Removing Coffee Stains on Teeth: 5 Proven Methods If you’re a coffee lover, you might be struggling with the stains those daily cups leave behind, stains that can
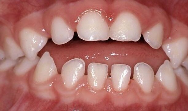
عيادات الشناوي 7 months ago Effects of thumb and finger sucking habit on children’s oral health Thumb sucking habit is a natural reflex for babies and young children; it gives them comfort and makes them feel
عيادات الشناوي 7 months ago The direct link between sugar and teeth damage Sugar is a part of so many foods and drinks we enjoy, but it’s also one of the biggest contributors
عيادات الشناوي 7 months ago Why dental health and hygiene are more important than you think Maintaining good dental health and hygiene is one of the simplest, most effective ways you can protect your health. Excellent
عيادات الشناوي 7 months ago Top 10 common dental myths you should stop believing Oral health plays a vital role in overall well-being, yet many people unknowingly follow habits or beliefs that do more