For many, alcohol is a common part of social gatherings and special occasions. But while that occasional glass of wine or cocktail might seem harmless, it can actually have a hidden effect on your teeth and gums. Alcohol doesn’t just cause dry mouth or surface stains; it can also raise your chances of developing cavities, gum disease, and even oral cancer.
In this blog, we will explore the connection between alcohol and oral health, highlighting both short-term and long-term risks. We’ll also share tips on how you can safeguard your smile against these potential effects.
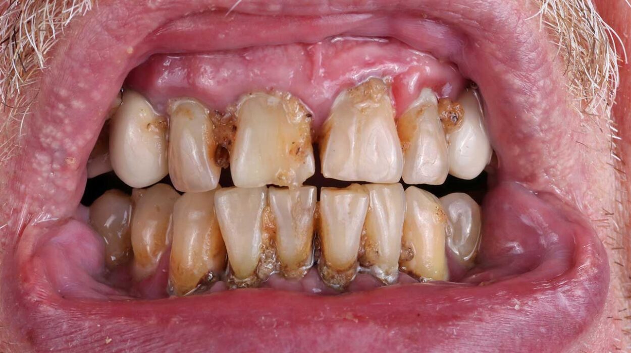
Immediate effects of alcohol on oral health
- Dry Mouth and Dehydration: One of the first effects of drinking alcohol is dry mouth. Alcohol decreases the amount of saliva produced in your mouth, which helps wash away bacteria and neutralize acids. Without enough saliva flowing in your mouth, plaque and food particles build up faster, cavities form easier, and your mouth is more susceptible to infection.
- Bad Breath (Halitosis): Alcohol can make your breath smell unpleasant. It reduces saliva, which normally washes away bacteria, allowing them to grow and produce foul odors. Additionally, alcohol itself contains volatile compounds that can linger on your breath.
- Tooth Staining: The pigments in dark-colored alcoholic beverages stick to the porous enamel. Over time, this leads to yellow or brown teeth.
Even occasional drinking can leave its mark quickly. If you’re already dealing with staining, learning more about teeth cleaning prices can help you take the first step toward restoring a brighter, healthier smile.
How alcohol fuels gum disease and tooth loss
- Gingivitis and Periodontitis: Research indicates that there exists a certain correlation between alcohol intake and gum infection like gingivitis and periodontitis. Alcohol alters the balance of bacteria in your mouth that promotes inflammation. Researchers have found that heavy drinkers tend to develop deep periodontal pockets which is a sign of gum tissue breakdown.
- Tooth Loss Risk: With the progression of periodontal disease, the support structures for the teeth weaken, ultimately resulting in tooth loss. Alcohol speeds up gum disease while at the same time slows down the healing process of oral tissues.
Gum disease remains one of the most harmful effects of alcohol, and when combined with cigarette smoking, it can cause severe harm to your oral health.
Alcohol and enamel erosion
-
Acidic Drinks and Enamel Damage
A wide variety of alcoholic drinks are very acid. The acid erodes enamel, the hard outer layer protecting teeth, over time, making them more susceptible to erosion, sensitivity, and decay.
-
Sugar in Cocktails
The higher the percentage of sugar mixed with alcohol, the greater the danger. Sugars promote the growth of bad bacteria in your mouth to make even more acid. The double hit of sugar and acidity accelerates enamel wear and cavity formation.
Studies show that individuals who drink a lot have more decayed, missing, and filled teeth compared to those who don’t drink. This seems to accurately confirm the effects of drinking alcohol on enamel health.
Alcohol and oral health: the long-term impact of alcohol
- Oral Cancer: The World Health Organization classifies alcohol (ethanol) as a cancer-causing substance. Regularly consuming large amounts of alcohol increases your chances of developing cancers in the mouth, throat, and esophagus. This risk is significantly higher for individuals who also smoke.
- Precancerous Changes: Excessive drinking can also cause changes in the lining of the mouth, which may create spots that could potentially become cancer. Dentists often spot these early warning signs during routine dental check-ups.
- Severe Gum Problems: In rare but serious cases, alcohol misuse has been connected to aggressive gum diseases where the tissue deteriorates quickly. This is more likely to happen to individuals whose immune systems aren’t strong.
Alcohol isn’t just harmful to your teeth and gums; it can also result in potentially fatal diseases, which highlights the importance of prevention and catching issues early on.
How to protect your oral health If you drink alcohol
While the safest option is to reduce or avoid alcohol, there are steps you can take to protect your mouth:
- Stay hydrated: Consider alternating your alcoholic drinks with water to reduce dry mouth.
- Don’t brush immediately: Wait at least 30 minutes after eating or drinking anything acidic before brushing; brushing sooner could harm the enamel.
- Use alcohol-free mouthwash: This will help you retain fresh breath without additional dryness.
- Practice daily oral hygiene: Brush your teeth twice daily with fluoride toothpaste and floss.
- Schedule regular dental check-ups: Dentists can catch early signs of alcohol-related damage, including oral cancer.
How regular check-ups protect against hidden risks
Dentists often play a crucial role as the first ones to notice the effects of alcohol on your mouth. Patients might not catch subtle signs like unusual staining, early gum irritation, or tiny sores, but dentists can spot these easily. That’s why regular dental check-ups are so important; they help catch these issues early on, stop them from becoming serious problems, and protect your overall health.
This is where El-Shenawy Dental Clinics play a vital role. With advanced diagnostic tools and a team experienced in preventive care, the clinic helps patients identify risks early and take action before minor issues become major concerns. More than treatment, El-Shenawy offers advice, customized guidance, and ongoing care to maintain every smile healthy, confident, and protected.
Conclusion
The connection between alcohol and oral health is undeniable; alcohol can have lasting effects on your teeth, gums, and overall well-being. That’s exactly why regular dental check-ups are so important. Here at El-Shenawy Dental Clinics, we’re skilled at spotting potential issues early on, offering advice tailored just for you, and providing treatments aimed at prevention. These steps can really help safeguard your smile from the risks associated with alcohol.
If you value your smile, schedule your next dental check-up to protect your oral health.










